說真的,第一次聽到獸醫說我家老狗可能有肺部腫瘤時,我整個人都懵了。那時候根本不知道該從哪裡下手,上網查資料又怕找到錯誤訊息。所以我想寫這篇文章,用最簡單的方式,把狗狗肺部腫瘤的大小事講清楚。畢竟,這不是教科書,而是我們這些養狗人的真實經驗分享。
你可能會問,狗狗肺部腫瘤到底常見嗎?其實不算太常見,但一旦發生,往往讓人措手不及。尤其是老年狗,風險更高。我記得獸醫跟我說,早期發現的話,還是有很多方法可以幫忙的。所以別慌,我們一步步來。
什麼是狗狗肺部腫瘤?
簡單來說,狗狗肺部腫瘤就是肺裡面長了不該長的東西。這些腫瘤有可能是良性的,也可能是惡性的。惡性的比較麻煩,因為可能會擴散到其他器官。常見的類型包括原發性肺癌(從肺開始長的)或轉移性腫瘤(從別處跑來的)。
為什麼會得這個病?原因很多,遺傳、環境因素(比如二手菸)、年齡都可能有關。但我必須說,不是每隻狗都會中招,所以不用過度擔心。重點是知道怎麼觀察和應對。
常見的腫瘤類型
根據台灣大學獸醫系的資料,狗狗肺部腫瘤中,腺癌是最常見的一種。這種腫瘤生長速度不一,有的慢吞吞,有的卻很快。另外,還有鱗狀細胞癌或肉瘤等,但相對少見。
我自己查資料時發現,很多家長會混淆肺部腫瘤和其他呼吸道問題。比如咳嗽,不一定就是腫瘤,也可能是感冒或心臟病。所以別自己嚇自己,還是交給專業的判斷。
狗狗肺部腫瘤的症狀:早期警訊別忽略
早期症狀往往很隱蔽,容易被當成老化或小毛病。我家狗當初就是咳嗽變多,我以為只是天氣變化。結果拖了幾個月,才發現不對勁。以下是常見的症狀清單,你可以對照看看:
- 持續性咳嗽,尤其是乾咳或夜間加重
- 呼吸困難或喘氣聲變大
- 食慾下降、體重減輕
- 精神不濟,活動力降低
- 偶爾咳血(這比較嚴重,要馬上就醫)
如果出現這些情況,別猶豫,快帶去看獸醫。我後來想想,早點行動的話,或許治療效果會更好。
對了,有些狗狗完全沒症狀,是健康檢查時意外發現的。所以定期健檢真的很重要,尤其是七歲以上的老狗。
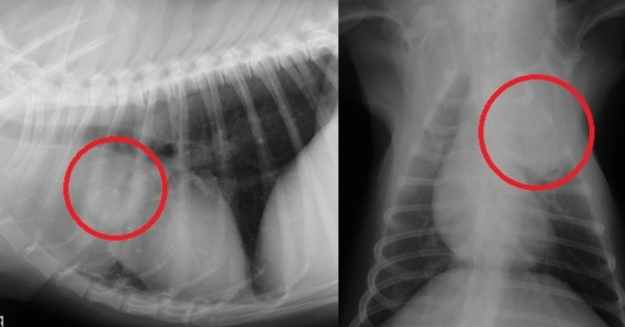
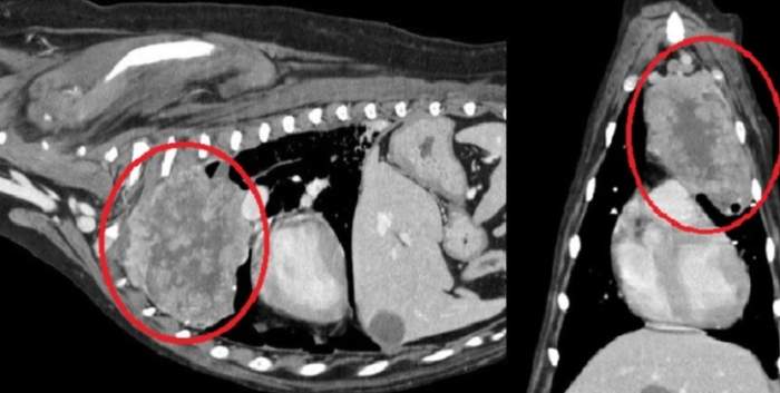
如何診斷狗狗肺部腫瘤?
診斷過程通常需要多管齊下。獸醫可能會先聽診,然後建議做X光或超音波。X光是最基本的工具,可以看肺部的陰影變化。但如果腫瘤很小,X光可能看不出來,這時就需要進階檢查如CT掃描。
我記得當時獸醫還做了細針抽吸,取一點細胞化驗。這個檢查有點侵入性,但能確定腫瘤是良性還是惡性。整個過程大概花了幾天時間,說實話,等待結果的那段日子最難熬。
以下是一個簡單的診斷流程表,幫助你了解步驟:
| 步驟 | 檢查項目 | 說明 |
|---|---|---|
| 初步評估 | 身體檢查、聽診 | 獸醫會檢查呼吸音和整體狀況 |
| 影像學檢查 | X光、超音波 | 查看肺部有無異常陰影 |
| 進階診斷 | CT掃描、活檢 | 確認腫瘤位置和類型 |
| 實驗室檢驗 | 血液檢查、細胞學 | 評估整體健康及腫瘤性質 |
如果確診是狗狗肺部腫瘤,別絕望。現在醫療進步很多,治療選項比你想像的多。
治療選項:從手術到支持療法
治療方式取決於腫瘤類型、大小和狗狗的整體健康。手術切除是首選,如果腫瘤局限在一個區域,成功率不錯。但萬一已經擴散,可能就得靠化療或放療。
我家狗因為年紀大,不適合開刀,所以選擇了化療。老實說,化療聽起來可怕,但獸醫用的劑量比人類低,副作用相對小。狗狗還是能維持不錯的生活品質。
另外,還有 palliative care(緩和療護),重點是減輕症狀,讓狗舒服一點。比如用藥物控制咳嗽或疼痛。每種方法都有優缺點,最好和獸醫詳細討論。
個人經驗談:治療期間,飲食調整很重要。我加了點營養補充品,幫助狗狗維持體力。但別亂買,先問過獸醫比較安全。
治療方法比較
這裡整理一個簡單的排行榜,幫你快速了解:
- 手術切除:適合早期局部腫瘤,效果直接,但需要狗狗身體能負荷。
- 化學治療:用於擴散性腫瘤,可控制生長,但可能有噁心或掉毛副作用。
- 放射治療:針對特定區域,較精準,但設備不是每家醫院都有。
- 支持療法:重點在舒適護理,適合老年或體弱狗狗。
選擇哪種,要看你的狗狗具體情況。沒有絕對的好壞,只有適不適合。
居家護理與生活調整
治療期間,居家護理是關鍵。環境要保持乾淨,避免灰塵或菸煙刺激肺部。飲食方面,高蛋白、易消化的食物有幫助。我還會帶狗短暫散步,但不過度勞累。
監測症狀變化也很重要。我用了個小本子記錄狗狗的咳嗽頻率、食量等,回診時給獸醫看,這樣調整治療更精準。
心理支持不能少。狗狗生病會焦慮,多陪陪牠、用溫柔的語氣說話,都有安撫效果。這點我深有體會,我家狗那時候特別黏人,可能就是需要安全感。
預後與生活品質
狗狗肺部腫瘤的預後差異很大。良性腫瘤切除後可能就沒事了;惡性腫瘤若早期處理,有的狗還能活上好幾年。但晚期病例可能只有幾個月壽命。
不過,與其糾結數字,不如聚焦在生活品質。我家狗確診後,我們調整了生活方式,反而更珍惜相處的時間。獸師說,只要狗還能吃能玩,就有希望。
關鍵是別放棄。現代獸醫進步很多,積極治療加上愛心照顧,很多狗狗都能延長快樂時光。
常見問答
這裡回答幾個我常被問的問題,希望能解決你的疑惑:
問:狗狗肺部腫瘤會傳染嗎?
不會,腫瘤不是傳染病,不用擔心會傳給其他寵物或人。
問:治療費用大概多少?
這要看療程,手術可能幾萬台幣起跳,化療更貴。建議先問醫院報價,並考慮寵物保險。
問:怎麼預防狗狗肺部腫瘤?
避免環境致癌物(如菸草)、定期健檢是基本。但老實說,完全預防很難,只能盡力。
如果還有其他問題,可以參考台灣獸醫內科醫學會的資源,他們有詳細的衛教資訊。
總結
面對狗狗肺部腫瘤,知識就是力量。早期發現、正確治療和細心護理,能大大提升狗狗的生活品質。別忘了,你不是孤單的,多和獸醫溝通,找支持團體分享經驗。
最後,我想說,每隻狗都是獨特的,治療沒有標準答案。但只要有愛和耐心,我們就能陪牠們走過難關。希望這篇文章對你有幫助,如果有疑問,歡迎繼續探索相關資訊。